
Please complete the form below accurately so we can help you better - Dr.Naren
Real Patients. Real Results*
Transform your smile. Enjoy the results for the rest of your life.
*individual results may vary
Real Patients. Real Results*
Transform your smile. Enjoy the results for the rest of your life.
*individual results may vary
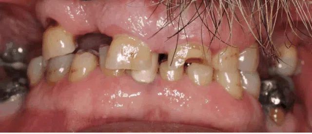
Before and After Result of Patient 1

Before and After Result of Patient 2

Which Implants Are Right For You?

Replace A Single Tooth
If you are missing a single tooth, a single tooth implant is a perfect solution to replace both the lost natural tooth and its root. Single tooth implants prevent the opposing tooth from extruding, and it prevents tooth shifting.

Replace Multiple Teeth
If you are missing more than one teeth, multiple teeth implants are the perfect solution for you. This permanently replaces multiple missing teeth, restores your healthy bite, and prevents jawbone atrophy..

All-On-4 Dental Implants
If you are missing a lot of teeth, you don’t need a dental implant for every missing tooth. Instead, you can choose All-on-4 dental implants, where you'll only need 4 implants placed with precision per arch to optimize your anatomical bone structure and your cosmetic restorations.

Implant Supported Dentures
If you have several missing teeth, your dentist may recommend implant-supported dentures. Unlike conventional dentures that rest on top of your gums, implant-supported dentures are anchored to your jawbone so they won’t slip. Many of our patients appreciate being able to eat, talk, and smile with confidence.
Restore Your Smiles Within Your Budget
At the outset, dental implants might look expensive. However, most of our patients who have implants would say that having the ability to speak, eat, and look the way they do is well worth the investment.
To help our patients get implants within their budget, We've partnered with financial institutions to make sure you're able to restore your smiles within your monthly budget.
We want to make paying for your implant procedures cost-effective and straightforward.
Our financial coordinator is here to help and can tell you more about financing and payment plans. Claim your consultation now.

Meet Dr. Naren Mikkilineni

Dr. Naren Mikkilineni is a board-certified dentist serving the residents of Irving, Texas. Dr. Mikkilineni and his staff offer state of the art diagnostic services and treatment techniques to patients of all ages.
He specializes in many different services and procedures, including but not limited to Invisalign®, root canals, crowns, dental implants, dental cleanings, and pediatric dentistry. Dr. Mikkilineni is fluent in English, Hindi, and Spanish.
Dr. Mikkilineni earned his Master’s Degree in Public Health while living in Florida at Florida International University, and his Doctorates in Dental Medicine at Nova South Eastern University. He specializes in both general and cosmetic dentistry and offers a wide variety of procedures at his office.
Dr. Mikkilineni is board certified in both Texas and Florida. He is an active member of several professional organizations including the American Association of Implant Dentistry and the Academy of General Dentistry.
Dr. Mikkilineni stays up-to-date with the latest in technological advancements through working hand in hand with fellow dentists and attending continuing education courses when they are available.
What Our Patients Say
Tell Us A Little About What's Going On So We Can Help You Better. Click The Button Below And Complete The Dental History Form
Our Address
Our Address
About Us
Welcome to Signature Smiles! We are proud to be the primary oral health care providers to the Irving and nearby community. At the office of Dr. Naren Mikkilineni, we are committed to quality dental care. Schedule an appointment with us today.
Opening Hours
Monday -9.00 AM – 5.30 PM
Tuesday - Closed
Wednesday - 9.00 AM – 5.30 PM
Thursday - 9.00 AM – 5.30 PM
Friday - Closed
Saturday - 9.00 AM – 3.00 PM